
Dr. Lin’s Dental Hygiene Center
Be The Best Version Of Yourself
Meet the Team


–David T. Lin DDS –David P. Lin DDS –Shawn Y. Lin RDH


X-RAY RADIATION DOSE COMPARISON
*Our office only takes 6 periapical digital x-rays for an adult regular cleaning/checkup visit (0.005 X 6= 0.030 mSv), 4 digital x-rays for a child (0,003 x 4 = 0.012 mSv) ** exposure time is shorter for children.

About Us
Dear visitors,
Happy 2026! Hope you and your family have been doing well! We appreciate that you took the time to visit our website! We hope this message finds you and your family in good health and wellness!
As our world is gradually being reshaped by Artificial Intelligence and advance robotics, many fundamental oral health needs and remedies remain unchanged in the field of dentistry.
In today’s high-octane capitalist society—where profit goals often drown out ethical considerations and financial incentives seem to tug at every decision—finding a business that is genuinely honest can feel like an exhausting quest. The search can easily consume your time, stretch your patience, and leave your emotions feeling as though they’ve just limped through a marathon in flip-flops.
It’s no surprise that many people begin to feel like Little Red Riding Hood after wandering off the familiar path and into a dense, bewildering jungle—holding tightly to their basket while wondering whether the next sound in the bushes signals a helping fairy ready to guide… or a smooth-talking wolf already rehearsing its next sales pitch.
That uncertainty is exactly what we aim to remove. If you are looking for a simple, comfortable, and genuinely effective teeth cleaning or checkup—without pressure to pursue unnecessary elective procedures or add-on dental treatments—our office is here to support you. We prioritize setting aside ample time for each visit, carefully streamlining every step of the process to ensure a smooth, efficient experience that respects both your comfort and your valuable time.
We genuinely care about making your visit as stress-free and pleasant as possible. You can feel free to reach us via our secure texting platform, Emitrr, at (626) 538-4688, or give us a call with any questions regarding treatments, appointments, or any dental-related issues. We’re here to share what we know and things you would want to avoid.
If you have concerns about your teeth or gums during the visit, or if you’re feeling anxious about treatment costs, rest assured that we are here to offer practical and conservative solutions. In many cases, a small change in your oral hygiene routine can make a significant difference—sometimes, no extra treatment is needed at all.
With over three decades, for each patient I encountered, I’ve had the privilege of personally handling every step of dental cleanings, even polish/ fluoride application, scaling and root planning, composite restorations, cosmetic veneers, crown and bridge preparations, partial and complete denture fabrications, orthodontic treatment for Class I, II and III malocclusion cases, anterior to molar endodontic therapy, simple to full bony surgical extractions, single to multiple dental implant surgeries/ restorations for patients of all ages—from young children to adults and seniors.
While performing a general cleaning, I get the opportunity to thoroughly evaluate your overall oral health, including:
- Gum and bone health
- Chewing and dietary habits
- Sensitivity issues
- Condition of existing teeth, fillings, crowns, bridges, dentures, and implants
- Orthodontic appliances
- Wear patterns on teeth
- Erosion of enamel, dentin, and cementum
- Bite alignment and jaw/TMJ health
- Dental prostheses and orthodontic needs
- Pathology on peri-oral hard and soft tissues
- Integrity of existing root canal treatment success
- For children between 6-11, evaluate permanent teeth eruption patterns, timing and space analysis in relation to potential indication of orthodontic therapy
For our younger patients, I also work closely with parents to develop personalized plans that encourage healthy eating habits, proper care of primary teeth, smooth eruption of permanent teeth, and tips for optimal oral health. It’s always a joy to see children develop healthy habits as they grow up while knowing how their oral health can positively impacted for a long time.
Many patients and parents often are surprised to learn a comprehensive view of their current conditions in just one visit—sometimes more than they’ve learned from years of previous dental appointments combined. It’s fulfilling to be able to share those insights and make sure everyone leaves with a clearer understanding of their oral health.
Over the past 33 years, our practice has steadily evolved to emphasize prevention and the long-term maintenance of healthy oral structures. We firmly believe that dental care should always be guided by genuine patient needs rather than production targets or sales-driven objectives. Unlike many retail-oriented offices, our staffs are not trained nor encouraged to promote/sell treatments. Additionally, because we do not employ contracted in-house specialists, without any conflict of financial interest, we are ready to provide impartial referrals, ensuring our patients receive the most appropriate and trustworthy specialized care when it is needed.
We always strive to guide patients toward the most sensible and conservative options. We frequently advise against unnecessary or costly elective procedures which could lead to unwanted side effects or irreversible damages. If a decayed tooth can be restored with a conservative filling, we would discourage having a crown because it automatically destroys more than 50% of your natural tooth.
As a small, family-centered practice with a close-knit team, we are guided by strong Asian cultural values that emphasize compassion, respect, and attentiveness. We take great pride in delivering highly personalized care with genuine empathy. We are deeply thankful for the many wonderful patients who continue to return year after year. Every visit holds special meaning for us, and we sincerely appreciate the trust and confidence you place in our care. Your support motivates us to keep enhancing the patient experience and to make each visit as welcoming and positive as possible.
We look forward to continue providing essential and comfortable dental care to both our existing and new patients in the community. Thank you all for your ongoing support!
In this Year of the Horse, we warmly wish you and your loved ones abundant health, happiness, and prosperity throughout 2026! 🐎✨
Source: @StatNews On YouTube Shorts







*Most dental PPO insurances accepted
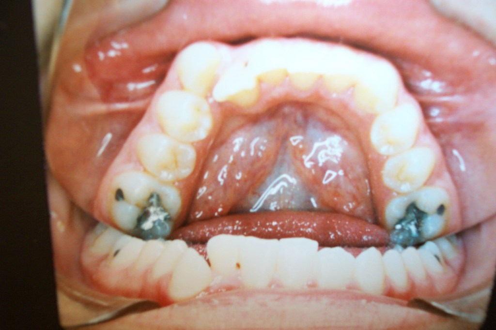
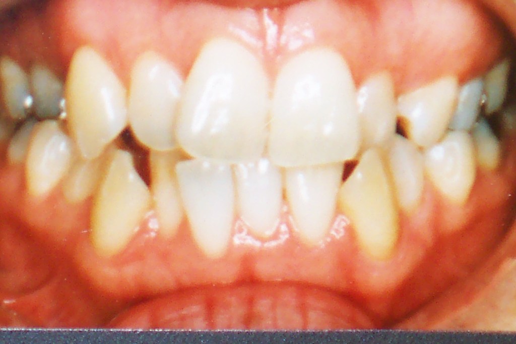
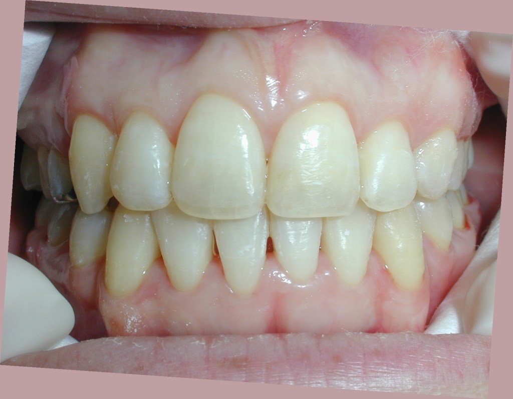
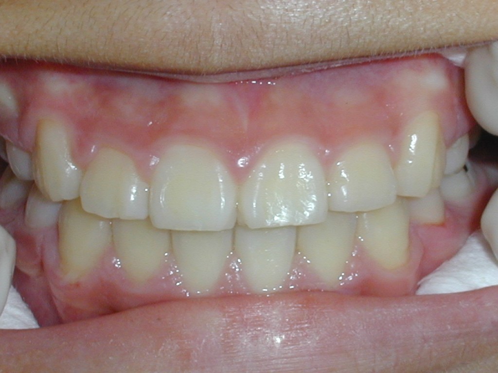
Gallery















Our patient for guided implant surgery on teeth #12, #13, and #14
Re-implantation for right central incisor
Administering local anesthesia for a six year old patient
David Lin DDS
As a 58-year-old dental professional with more than 33 years of clinical experience, I was born in Taiwan and raised in Los Angeles from middle school onward. I completed my undergraduate studies as a biology major at UC Irvine and USC from 1985 to 1988, and in 1992, I earned my DDS degree from the USC School of Dentistry. As a passionate and empathetic individual and a proud father of three adult sons, I have dedicated the past 15 years to focusing on health, fitness, and longevity. I feel fortunate to have maintained excellent oral health, with no dental restorations and healthy periodontal conditions. I strongly believe in practicing what I advocate, as consistent care and maintenance are essential to achieving optimal health and quality of life. Nutrition plays a vital role in overall well-being, and the ability to chew properly is fundamental to maintaining general health. In recent years, I have found great fulfillment in sharing health, fitness and nutritional guidance with the people I meet every day.
Oral hygiene serves as the cornerstone of long-term dental health. With proper daily care and preventive measures, many dental treatments can be minimized or avoided altogether. Throughout my career, I have gained extensive experience across multiple disciplines, including general dentistry, orthodontics, periodontics, pediatric dentistry, endodontics, oral surgery, prosthodontics, cosmetic dentistry, and implant surgery. Today, my primary mission is to educate and support patients in achieving optimal oral health, which directly contributes to their overall health and wellness.
Maintaining consistent quality control in dental practices has always been challenging, particularly in larger group settings that involve multiple associate dentists. In these environments, it can be difficult for a single owner to effectively monitor and ensure uniform standards of care among all providers. Contracted in-house specialists often travel between offices and, as independent contractors, may not share the same level of long-term accountability as practice owners. Additionally, larger staff structures can sometimes lead to overlapping responsibilities, communication breakdowns, and overlooked details, which may ultimately affect patient satisfaction.
After simultaneously managing three practices with five associate dentists over an eight-year period, I gained valuable insight into the advantages of consolidating multiple locations into a single practice. This transition allowed us to focus more fully on delivering personalized, high-quality patient care.
Establishing long-lasting, trusting relationships with our patients has always been our highest priority. We intentionally schedule one patient at a time to ensure that every visit receives our full attention and care. This approach allows us to conduct comprehensive consultations, perform procedures with precision, and provide our team with adequate time to properly disinfect, sanitize, and prepare the treatment environment for each patient.
Dentistry is both a science and an art that requires patience, precision, and dedication to achieve exceptional results. By embracing this philosophy, dental visits can become comfortable, positive, and even enjoyable experiences for our patients.
Over the course of first 26 years, I established and developed practices in Anaheim (1993), Irvine (1994), Hacienda Heights (1996), Alhambra (1999/2001), and San Gabriel (2004). In 2018, I relocated and consolidated the practice to Arcadia. Our modern and spacious facility is situated in a quiet neighborhood with convenient access to the 10, 605, and 210 freeways, all within a short 10-minute drive.
During these times, when the world can often feel uncertain and unpredictable, I sincerely wish that you and your loved ones experience lasting peace, happiness, and continued good health in your daily lives.
Warmest regards,
David Lin, DDS
February 16, 2026
Chinese New Year’s Eve


“His work is meticulous, thorough, gentle and professional. He really cares about the comfort of his patients through out the whole process- from the first step you take into the office. Everything you can think of that can make your experience at a dental office superb can be experienced here. Highly recommend if you’re looking to upgrade your dental visits.” Grace Y
“He sees his patients every hour and he does the cleaning himself. Before he starts the process, he goes over the x-rays with you. Routinely and in the beginning, he would apply Vaseline on your lips to prevent dryness. His staff is also very gentle to dab your face frequently with tissue paper. He explains the areas of the teeth that you need work on in a pleasant and educative manner. Your visit will take up the whole hour but you’ll leave satisfied.” Cookie N
“Dr. Lin greeted me shortly after I sat down in the chair and both he and his assistant asked me if I had any concerns/pain/anything bothering me. He took time to address my concerns and made sure I was comfortable before proceeding with the cleaning. Every part of the appointment, he explained what he was about to do, so I never worried about what was coming next. All in all, he just seemed very caring, knowledgeable and skilled– you really can’t ask for more in a doctor!” – Aya K
“I have been seeing Dr. Lin for more than 15 years, he is the greatest dentist to me and my family. He is very caring and pay attention to details. He provides the best for his patients. They recently moved to a new office in Arcadia, it is very clean and very comfortable.” Vincent C

Contact Us
Feel free to check us out on Yelp !
Our Information
Address: 34A East Live Oak Ave, Arcadia CA 91006
Phone: 626 – 538 – 4688 (call and text are welcomed)
Email: drlindentalhygienecenter@gmail.com
